第二节 放射学检查与诊断《急诊医学》

第二节 放射学检查与诊断

一、胸部X线片

虽然大约15%巨块型肺栓塞和30%次巨块肺栓塞患者的胸片是正常的,甚至大多数肺栓塞患者的胸片是正常的,然而,胸部平片仍然是首选的放射学检查方法。

(一)胸片可以除外,引起胸部症状的其他原因如骨折、气胸、纵隔气肿、食管破裂、肺炎、纵隔肿物、夹层动脉等。

(二)有胸片可以正确地解释肺核素扫描的图象

(三)胸片可以显示肺栓塞的某些X线表现 ①一侧膈肌升高,大约有一半的急性肺栓塞的患者有此表现(肺容积的减少);②约有30%~50%的肺栓塞患者有一过性的肺实质浸润;③肺不张(约20%),但机制不清;④胸膜渗出,有1/3的患者出现;⑤有两个特异性的X线表现:Hampten’s驼峰征,为一个肺内的实变征,呈圆形圆顶状轮廓,顶部指向肺门,位于肺肋膈角区或后肋膈窦区;Wamptark’s征,栓塞侧近侧肺动脉扩张而远侧缺乏之灌注(无血管区),这两种特异的征象是很少见的;⑥肺动脉主干扩张、肺动段突出,甚至右心室增大。

二、肺放射性核素扫描

(一)肺灌注扫描(lungpefusion scan) 静脉注射99m锝标记的蛋白颗粒(MAA),使肺内显象,直接反应肺血流的状态,敏感性高,但特异性低,必须综合分析判断。

(二)肺通气扫描(pulmonaryventilation scan) 受检者从一个固定容量的容器中,呼吸133氙和氧混合的气体,肺泡逐渐充盈显象。可分两个时期,即充盈相和排出相,另外也有人用81m氪做肺通气扫描。

(三)分析判断原则 首先要强调指出:①正常的肺灌注扫描可以除外肺栓塞的诊断;②肺栓塞的阳性诊断不能单纯地依靠肺灌注扫描。

1.肺通气和灌注扫描均正常,肺部X线片亦正常,可以除外肺栓塞。

2.胸片正常,肺通气扫描正常,而肺灌注扫描有明显段缺损,临床表现典型,则可诊断肺栓塞。

3.任何局限性或多发性的肺通气扫描和灌注扫描异常缺损均不能诊断为肺栓塞(相匹配),但是如果临床怀疑肺栓塞,肺扫描有局限性相匹配,这时肺血管造影是有价值的,可缩短造影检查的时间。

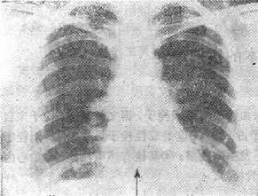
肺梗死

图116-1 肺梗死

三、肺动脉造影和数字减影血管造影

(一)数字减影血管造影(DSA)目前一般采用时间减影法。在注射造影剂前后将受检部位的影象由模数转换器转变成数据,输入计算机,指令造影后减去造影前,再由数模转换器转变成图象,通过显示和照象系统形成影象(纯血管影象)。应用简单周围静脉注射可能显示为非选择的,通过导管亦可做选择性的肺血管造影,肺血管的显示更为清楚。

(二)传统的肺血管造影 传统的肺血管造影是将导管从周围静脉插入,经右心至肺动脉系统,同时可做肺动脉压、血气分析等测量。造影是高压注射下快速连续摄片,可做选择性造影,根据肺片、肺扫描所见确定选择的部位。

(三)肺栓塞的血管造影表现

1.血管管腔内充盈缺损是肺动脉内栓子造成的直接征象,对诊断最有意义。

2.肺动脉完全阻塞造成的截断现象为诊断肺栓塞的可靠依据。

3.某一区域肺血管减少,可表现出“剪枝征”,像一树枝被剪掉样。

4.肺血管分布不均称,不完全阻塞时可以出现。

肺血管造影对肺栓塞的诊断具有很高的特异性,并且可进一步进行溶栓治疗(介入放射学),但是它是一种损伤性检查方法,可以出现并发症。

四、放射学诊断方法的选择原则

临床上症状(胸痛、呼吸困难、咯血)、体征(呼吸急促、肺动脉第二音亢进、发绀)、血气分析(低氧血症)等怀疑肺栓塞的可能,依下列原则选择放射学诊断方法。

1.首先选择胸部平片,可除外其他原因引起的上述临床表现,且有时能发现诊断肺栓塞的依据。

2.肺的通气和灌注扫描为第2位影象诊断方法,有一部分病人可以除外或肯定肺栓塞的诊断,而终止检查。

3.对于临床、X线及肺扫描均不能明确诊断而又非常怀疑则应考虑数字减影肺血管造影或传统的肺血管造影检查。

上一页:第一节 基本的病理改变
当前页:第二节 放射学检查与诊断
下一页:第117章 气管、支气管断裂伤的X线检查与诊断